Smile Gallery

Orthognathic Jaw Surgery

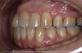
Short lower jaw leading to prominent teeth and a traumatic bite
Short lower jaw leading to obstructive sleep apnoea
Asymmetrical growth of the lower jaw leading to facial asymmetry and a traumatic bite
Increased growth of the lower jaw leading to an anterior open bite
Long lower jaw and short upper jaw, causing an anterior crossbite and flat facial profile
Short upper jaw leading to a traumatic crossbite and worn upper incisor teeth

Early Treatment of Children

Interceptive orthodontic treatment using a Myobrace

Fixed Braces

Orthodontic treatment using fixed braces and, the extraction of adult premolar teeth, to correct crowded, rotated teeth

Are you ready to start your journey to a beautiful smile?

Book a Consultation

Contact Us

Fields with (*) are required.
Please contact us via this website or email without disclosing confidential information.

Google Rating
4.9 Based on 55+ Google reviews
75A Queens Gate, London SW7 5JT
Monday - Tuesday - Friday 9.00 am to 6.00 pm|
Wednesday - Thursday 9.30 am to 5.30 pm
Saturday - Sunday - Closed